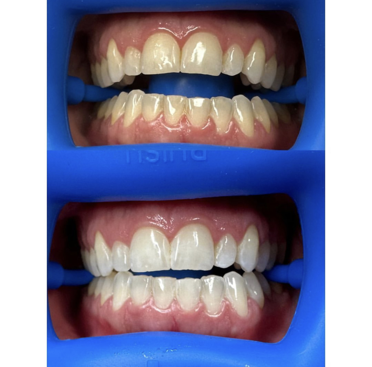
What to Expect
Our treatments are customized to your specific needs and goals, whether you are looking for a subtle improvement or a dramatic transformation. During your appointment, our technicians will begin by applying a protective gel to your gums to prevent any sensitivity or discomfort. Then, they will apply the teeth whitening product to your teeth and use a special light to activate the whitening agents. The entire process takes about an hour, and you will be able to see the results immediately.
Who Is a Good Candidate
Generally, anyone who has healthy teeth and gums and is looking to remove stains and discoloration from their teeth can be a candidate for this treatment.
However, it is important to note that some individuals may not be suitable candidates. For example, if you have sensitive teeth or gum disease, you may not be a good candidate for this treatment. Additionally, if you have dental restorations such as crowns or veneers, these may not respond to the teeth whitening treatment in the same way as your natural teeth.





